

With comprehensive general dentistry, we can provide all the services you need in one location.
Let Us Help You Achieve Your Healthiest Smile
A general dentist is your primary care provider for all your dental needs, from routine cleanings and exams to fillings, crowns, and more. At Scottsdale Cosmetic Dentistry, we offer comprehensive care tailored to every stage of life, ensuring that you and your family maintain optimal oral health.
Whether you're seeking preventive care, managing a specific dental issue, or looking to enhance your smile, our experienced team is here to support you. With our patient-centered approach and commitment to advanced technology, Scottsdale Cosmetic Dentistry is your ideal partner for a healthy, confident smile.






Maintaining a healthy and beautiful smile is easier and more affordable than fixing a damaged smile. It is also much better for your overall and long-term health, so we recommend our patients see us twice yearly for a comprehensive exam and dental cleaning
We do our best to preserve natural teeth but may recommend extraction for a severely damaged or decayed tooth. Wisdom teeth can be problematic; removing them is often the best option. Whatever the reason, we prioritize keeping a comfortable, stress-free appointment.


Teeth are incredibly strong but can develop decay and physical trauma, leading to complications, including infection. Endodontic treatment saves the infected tooth that would otherwise require extraction. Commonly called a root canal, this procedure can save tooth infections due to cavities, trauma, cracks, oversized fillings, and more.
Meet Our Doctor:
As our patient at Scottsdale Cosmetic Dentistry, we want you to enjoy excellent oral health and a beautiful smile for a lifetime. Dr. Jeffrey D. Clark and his entire team have dedicated themselves to delivering extraordinary results through patient care that is compassionate, personalized, and truly exceptional.

Dr. Jeffrey D. Clark has been a prominent figure in North Scottsdale’s dental community since 1997. He established Scottsdale Cosmetic Dentistry Excellence as a practice known for providing the highest-quality care in a professional and welcoming environment. His approach combines advanced dental expertise, patient-centered care, and state-of-the-art technology to create award-winning smiles. Dr. Clark's deep commitment to his patients and the community has earned him widespread recognition.
Education and Lifelong Learning
Dr. Clark’s journey in dentistry began at Loma Linda University School of Dentistry, where he earned his Doctorate of Dental ...
At Bass & Watson Family Dental, our entire team is compassionate and understanding, and we’re here to guide and encourage you on your path toward a healthy smile. We believe great dental care is a group effort, and we are here to work with you every step of the way.
Dr. Clark and his team are committed to providing an exceptional experience, whether you're visiting for a routine appointment or need a more complex solution. Isabella underwent a routine checkup, a thorough cleaning, and teeth whitening. She not only enjoyed her visit but also found it informative and was very happy with her final results!
Bethany described her experience with Dr. Clark as a refreshing change from all her previous dental visits. This feedback is significant for our team, as transforming the traditional dental visit is central to our mission. During her first-ever teeth whitening session, Bethany felt a bit uncertain, which is completely normal; however, we successfully helped her feel comfortable and guided her through the entire process. Additionally, she noted that Dr. Clark provided insights about her teeth that she had never received from previous dentists. This made us proud, as we prioritize equipping our patients with the knowledge necessary for maintaining optimal dental health throughout their lives.
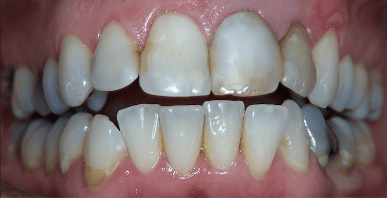
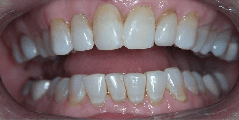
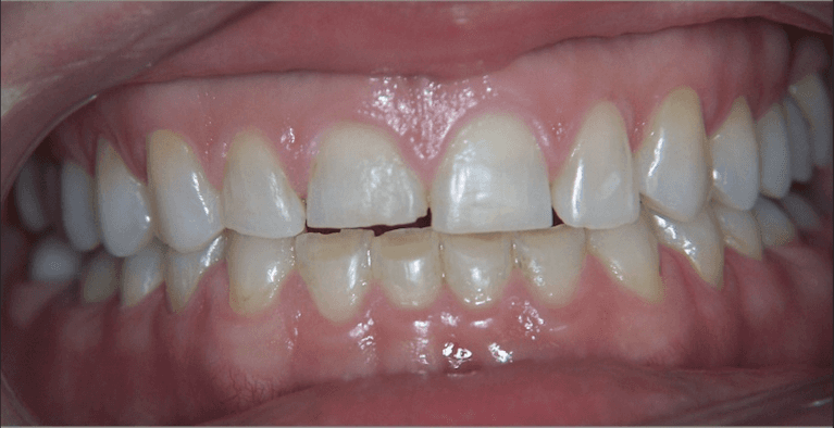
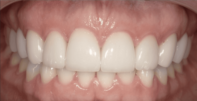
Welcome to our Smile Gallery, where we showcase the transformative power of exceptional dental care. Here, you'll find before-and-after photos of real patients who have entrusted their smiles to us.




This patient had damaged and discoloured teeth that affected their smile and function. With custom porcelain crowns, we restored strength, shape, and a natural appearance—resulting in a healthier, more confident smile.
This patient wanted to improve the color, shape, and symmetry of their smile. With custom porcelain veneers, we achieved a bright, balanced, and natural-looking transformation that beautifully enhances their overall appearance.




This patient wanted a more even, whiter smile. With custom porcelain veneers, we corrected discoloration and minor imperfections, resulting in a smooth, natural-looking transformation that enhances both confidence and appearance.
This patient needed a fast, durable solution for a damaged tooth. Using same-day CEREC technology, we designed and placed a custom crown in a single visit—restoring strength, function, and a seamless, natural look.
Welcome to our Smile Gallery, where we showcase the transformative power of exceptional dental care. Here, you'll find before-and-after photos of real patients who have entrusted their smiles to us.


This patient had damaged and discoloured teeth that affected their smile and function. With custom porcelain crowns, we restored strength, shape, and a natural appearance—resulting in a healthier, more confident smile.


This patient wanted to improve the color, shape, and symmetry of their smile. With custom porcelain veneers, we achieved a bright, balanced, and natural-looking transformation that beautifully enhances their overall appearance.


This patient wanted a more even, whiter smile. With custom porcelain veneers, we corrected discoloration and minor imperfections, resulting in a smooth, natural-looking transformation that enhances both confidence and appearance.


This patient needed a fast, durable solution for a damaged tooth. Using same-day CEREC technology, we designed and placed a custom crown in a single visit—restoring strength, function, and a seamless, natural look.
Have questions? We’ve got answers! Welcome to the Scottsdale Cosmetic Dentistry FAQ page, where you will find answers to the most common questions. If you still have questions or would like to schedule an appointment, we welcome you to schedule online or call us at (480) 585-1853.
Yes! Our cosmetic dentist in Scottsdale is always happy to welcome new patients looking to enhance their smiles. We offer various services, including but not limited to:
1. Teeth Whitening
2. Porcelain Veneers
3. Invisalign and SureSmile Clear Aligners
4. Dental Bonding and Contouring
5. Composite Fillings
6. CEREC Same-Day Restorations
7. Full Smile Makeovers
8. Dental Implants
9. Biological Dentistry
We understand that finding a new dentist can be overwhelming, especially if you’ve just moved to the area. That’s why we make the process easy and stress-free. From your first consultation to your personalized treatment plan, our team is committed to delivering the best possible care tailored to your needs, goals, lifestyle, and budget.
Schedule Your Dental Consultation in Scottsdale
Scheduling your first appointment is simple. You can simply give us a call or book online. We also offer flexible appointment times to accommodate busy schedules, so you don't have to worry about fitting in your dental care—we're here when you need us! If you have any questions about insurance coverage, financial options, or specific cosmetic procedures, our friendly team is happy to assist you.
Your dream smile is much closer than you think! Contact our cosmetic dentist in Scottsdale today to schedule your consultation.
We look forward to helping you enhance your smile!
It’s easy to forget how much your smile does for you until something feels off. Maybe it’s a twinge of pain, a little sensitivity, or just the feeling that it’s time to visit the dentist. But how often should you really see the dentist?
At Scottsdale Cosmetic Dentistry, we believe regular visits can help you prevent issues and keep your smile radiant for years to come.
How Often Should I Visit the Dentist?
At Scottsdale Cosmetic Dentistry, preventive dental care is the key to long-term oral health.
We recommend a regular dental visit every six months for numerous reasons, including the following:
1. To professionally remove plaque and tartar
2. To prevent tooth decay and gum disease
3. To detect dental issues before they worsen
4. To identify other oral health issues, such as oral cancer
5. To maintain good oral hygiene by offering tips on brushing and flossing
6. To prevent bad breath by removing plaque buildup
7. To promote good overall health
Need a Cosmetic Dentist in Scottsdale, AZ?
We welcome your call if you want to schedule a routine dental exam and cleaning or learn more about what cosmetic dentistry can do for your smile.
You can call, text, or book an appointment online. Our number is (480) 585-1853.
Finding the right dentist is about feeling at home the moment you walk through the door. At Scottsdale Cosmetic Dentistry, we’re proud to serve the heart of Scottsdale with a space that’s modern, comforting, and designed around you.
Our conveniently located office makes it easy to prioritize your smile without stress. So, where are we located?
Our Convenient Location
Scottsdale Cosmetic Dentistry is located at 8765 E. Bell Rd., Suite 201, Scottsdale, AZ 85260.
Here’s how to find us:
From the North:
1. Head south on AZ-101 Loop S.
2. Take exit 38. You’ll be going toward Frank Lloyd Wright Blvd.
3. Merge onto N Pima Rd.
4. Turn right onto E Bell Rd.
5. Continue on E Bell Rd.
6. Our dental office will be on your right.
From the West:
1. Head east on E Bell Rd.
2. Cross over AZ-101 Loop.
3. Continue on E Bell Rd.
4. Our office will be on your right.
Need a Dentist in North Scottsdale?
If you’re looking for quality dental care, consider the experienced dental team at Scottsdale Cosmetic Dentistry! We can help you keep your teeth and gums healthy for a lifetime.
Please get in touch with our dental office at (480) 585-1853 to schedule a consultation or appointment.
We hope to hear from you soon.
Schedule Your Next Dental Exam and Cleaning

As our patient at Scottsdale Cosmetic Dentistry, we want you to enjoy excellent oral health and a beautiful smile for a lifetime. Dr. Jeffrey D. Clark and his entire team have dedicated themselves to delivering extraordinary results through patient care that is compassionate, personalized, and truly exceptional.
Contact Us
Address: 8765 E. Bell Rd.
Suite 201, Scottsdale, AZ 85260
Phone: (480) 585-1853
Fax: (480) 585-7695
OFFICE HOURS:
Monday 8:00AM - 5:00PM
Tuesday 8:00AM - 5:00PM
Wednesday 8:00AM - 5:00PM
Thursday 8:00AM - 5:00PM
Friday 8AM - 1:00PM
Saturday Closed
Sunday Closed
© Scottsdale Cosmetic Dentistry 2025 | Privacy Policy | All rights reserved.

As our patient at Scottsdale Cosmetic Dentistry, we want you to enjoy excellent oral health and a beautiful smile for a lifetime. Dr. Jeffrey D. Clark and his entire team have dedicated themselves to delivering extraordinary results through patient care that is compassionate, personalized, and truly exceptional.
Contact Us
Address: 8765 E. Bell Rd.
Suite 201, Scottsdale, AZ 85260
Phone: (480) 585-1853
Fax: (480) 585-7695
OFFICE HOURS:
Monday 8:00AM - 5:00PM
Tuesday 8:00AM - 5:00PM
Wednesday 8:00AM - 5:00PM
Thursday 8:00AM - 5:00PM
Friday 8AM - 1:00PM
Saturday Closed
Sunday Closed
© Scottsdale Cosmetic Dentistry 2025 | Privacy Policy | All rights reserved.